人間の筋肉の一覧

(にんげんのきんにくのいちらん)は、人間の筋肉を一覧にしたものである。

 

https://upload.wikimedia.org/wikipedia/commons/thumb/8/8c/Skeletal_muscles_homo_sapiens.JPG/400px-Skeletal_muscles_homo_sapiens.JPG

主要な筋肉の概要図

1. 後頭前頭筋

2. 側頭頭頂筋

3. 眼輪筋

4. 上唇挙筋

5. 咀嚼筋

6. 胸鎖乳突筋

7. 口輪筋

8. 三角筋

9. 僧帽筋

10. 大胸筋

11. 広背筋

12. 上腕三頭筋

13. 上腕二頭筋

14. 前鋸筋

15. 腹直筋

16. 外腹斜筋

17. 大腿筋膜張筋

18. 大腿直筋

19. 大臀筋

20. 方形回内筋

21. 屈筋支帯

22. 総指伸筋

23. 縫工筋

24. 大腿四頭筋

25. ??

26. 腓腹筋

27. 前脛骨筋

28. ヒラメ筋

29. 上伸筋支帯?

30. 下腿三頭筋?

人体には、通常は、大小含めて約600を越える筋肉が存在する。筋肉は、大別すると骨格筋平滑筋心筋に分けられる。これらは、意識して動かすことができるかという点で随意筋(骨格筋のみ)と不随意筋(心筋・平滑筋)に分けられる。また、組織構造から横紋筋(心筋・骨格筋)と平滑筋に分けられる。

骨格筋は、体幹筋体肢筋に分けられる。そのうち体幹筋を体幹腹部の前体幹筋と体幹背部の後体幹筋に分ける。前体幹筋は頭部の筋・頸部の筋・胸部の筋・腹部の筋を含み、後体幹筋は背部の筋のみとなる。体肢筋は上肢の筋・下肢の筋に分けられる。

目次

1 頭部の筋

2 頸部の筋

3 胸部の筋

4 腹部の筋

5 背部の筋

6 上肢の筋

7 下肢の筋

8 参考

8.1 消化器系の筋

8.2 呼吸器系の筋

8.3 循環器系の筋

8.4 感覚器系の筋

9 関連項目

 

 

 

 

頭部の筋  頭部の筋 

https://upload.wikimedia.org/wikipedia/commons/thumb/f/fa/Gray378.png/220px-Gray378.png

この図に描かれている筋肉 額:前頭筋 目の周り:眼輪筋 口の周り:口輪筋 口の上:上唇挙筋 耳の上:上耳介筋 耳の前:前耳介筋 耳の裏:後耳介筋 :鼻筋 顎から首:広頸筋 耳から首:胸鎖乳突筋 首の後:僧帽筋 など

  • 浅頭筋(musculi capitis superficiales)(表情筋)
  • 咀嚼筋(musculi masticatorii)(深頭筋、musculi capitis profundae

 

頸部の筋浅頚筋

胸部の筋

 

胸腕筋(musculi thoracobarachiales)

 

腹部の筋

 

腹筋


背部の筋

上肢の筋

 

下肢の筋

参考

消化器系の筋

 

呼吸器系の筋

 

循環器系の筋


 感覚器系の筋

 

関連項目

 

<img src="//ja.wikipedia.org/wiki/Special:CentralAutoLogin/start?type=1x1" alt="" title="" width="1" height="1" style="border: none; position: absolute;" />

https://ja.wikipedia.org/w/index.php?title=人間の筋肉の一覧&oldid=66244025」から取得

カテゴリ:

 

骨格筋

骨格筋(こっかくきん、: skeletal muscle)は、動物筋肉の一分類であり、骨格を動かす筋肉を指す。ここではヒトの骨格筋について記す。

骨格筋は組織学的には横紋筋であり、内臓筋平滑筋であるのと対照をなしている。ただし浅頭筋などにみられる皮筋や、咽頭横隔膜のような内臓筋の一部も骨格を支えているわけではないが、骨格筋組織である横紋筋である。

目次

·         1 構造

·         2 配置と形状

·         3 速筋線維と遅筋線維

·         4 神経と感覚器

·         5 注釈

·         6 関連項目

構造

https://upload.wikimedia.org/wikipedia/commons/thumb/c/c0/Skeletal_muscle.jpg/300px-Skeletal_muscle.jpg

骨格筋。トップダウン(ズームアップ)方式の図示
(
クリックして拡大)

骨格筋は、細長い筋繊維とその細胞間を埋めて束ねる結合組織からなる。

筋繊維(筋線維とも)はそれぞれが一個の細胞で、筋細胞と呼ばれる。筋細胞は多くのを持っている多核細胞(合胞体)である。 筋繊維の集まりが筋束を構成し、筋束の集まりが骨格筋を構成する。

配置と形状

骨格筋は骨格に対して、関節をまたぐように結びついている。その結びつく関節との関係からは、大きく屈筋伸筋に分けられる。前者はその関節の曲がる側についており、縮むことで関節が曲がるようになっている。後者はその反対側につき、縮むと関節が伸びる。筋肉は収縮時に力を出すが、自分自身で伸びることはできないので、屈筋伸筋が互いに拮抗的に働くことで関節の曲げ伸ばしが行われる。

骨格筋の形状はさまざまであり、紡錘筋羽状筋半羽状筋鋸筋などに分類される。

また骨格筋には枝分かれしているものがあり、筋頭(骨格筋の、体の中心に近い部分)の数で分類することができる。筋頭がひとつのものを単頭筋、筋頭が二つのものを二頭筋、三つのものを三頭筋、四つのものを四頭筋と呼ぶ。

速筋線維と遅筋線維

筋線維には大きく2種類あり、ミトコンドリアに富んで酸素を利用した持続的な収縮の可能な遅筋線維Type 1、赤筋、色の原因は、酸素結合性タンパク質ミオグロビンである)と、ミトコンドリアは比較的少なく解糖系による瞬発的な収縮の可能な速筋線維Type 2、白筋)にわけられる。速筋線維の中でもやや持続的収縮に向いたものはType 2a、そうでないものはType 2XType 2bとさらに細分される。最も速い速筋繊維であるType 2bはラットなどのげっ歯類の骨格筋繊維に含まれているが、ヒトの骨格筋においてはほとんど含まれていない。

なお、遅筋線維、速筋線維はそれぞれ遅筋速筋と呼ばれることが多い。さらには、両者の性質を備えた中間筋の存在も認められている。

神経と感覚器

骨格筋は運動神経に支配されており、運動神経から信号を受けると収縮して力を発揮する。1本の運動神経とそれに支配される筋線維をあわせて運動単位あるいは神経筋単位と呼ぶ。運動神経1本あたりの筋線維の数は、指などの精密な動きをする筋肉では少なく、大腿など大きな動きをする筋肉では多い。骨格筋線維を直接支配している神経線維は、α線維[1]と呼ばれる径の太い(神経伝達速度の速い)ものである。また、骨格筋には筋紡錘ゴルジ腱器官と呼ばれる感覚器が存在する。

筋紡錘

骨格筋の長さの変化に反応する。筋紡錘もまた骨格筋線維からなる。これをIa群線維[2]と呼ばれる感覚神経のほか、γ運動神経と呼ばれる神経線維も支配している。γ線維は、筋紡錘を収縮させたり弛緩させたりすることで筋紡錘の感度を調節し、結果的に筋の緊張状態を調節している(γループ)。

ゴルジ腱器官

筋-腱移行部に存在し、骨格筋の張力に反応する。Ib群線維[2]と呼ばれる神経につながる。腱紡錘とも呼ばれる。

注釈

1.    ^ αは文字式分類による種類のひとつ。直径15μm、伝達速度100m/sec

2.    ^ a b a、Ⅰb数字式分類で定める種類。数字式分類は感覚性ニューロンの分類に用いられる。Ⅰa、Ⅰbはどちらも直径13μm、伝達速度75m/sec

関連項目

·         解剖学口腔解剖学)/人間の筋肉の一覧組織学

·         人間の骨の一覧

·         ストレッチ

·         伸張反射

カテゴリ:

·         組織学

·         解剖学

·         筋肉

筋肉

出典: フリー百科事典『ウィキペディア(Wikipedia)』

筋繊維から転送)

https://upload.wikimedia.org/wikipedia/commons/thumb/c/c0/Skeletal_muscle.jpg/400px-Skeletal_muscle.jpg

骨格筋の構造 筋肉は複数の筋束からなる(中央上)。筋束は筋繊維(筋細胞)の集まりである(右上)。複数の筋原繊維が束ねられて筋繊維を形作る(右中央)。筋原繊維はアクチンタンパク質ミオシンタンパク質が入れ子状になった構造を取る(右下)。

https://upload.wikimedia.org/wikipedia/commons/thumb/1/1b/Illu_muscle_tissues.jpg/400px-Illu_muscle_tissues.jpg

種々の筋肉。左から骨格筋(: Skeletal muscle)、平滑筋(: Smooth muscle)、心筋(: Cardiac muscle

筋肉(きんにく、羅: musculus; : Muskel; , : muscle)は、動物の持つ組織のひとつで、収縮することにより力を発生させる、代表的な運動器官である[1]

動物の運動は、主として筋肉によってもたらされる。ただし、細部に於ける繊毛鞭毛による運動等、若干の例外はある。 なお、筋肉が収縮することにより発生する力を筋力と呼び、これは収縮する筋肉の断面積比例する。つまり筋力は、筋肉の太さに比例している。

また、食用に供する食肉は主に筋肉であり、脊髄動物の骨格筋は湿重量の約20%タンパク質が占め[1]、主にこれを栄養として摂取するために食される[2]。(ただし、食料品店でと表示されているものは筋肉だけでなく脂身(脂肪分の塊)も一緒になった状態で、タンパク質ばかりでなく、かなりの高脂肪の状態で販売されていることが多い。)

中医学では肌肉とも言われる。

目次

 1語源

語源

英語の「muscle」(マッスル)は、ラテン語で小さなネズミを意味する「musculus」から派生している。これは、筋収縮の様子が皮膚の中でネズミが動く様に見えた事に由来すると考えられる[3][4]

分類

腔腸動物以上の動物は筋肉を持つ[1]

骨格を持つ動物の筋肉は、その配置から大別すると骨格に付随して身体を構成し、姿勢制御に貢献する骨格筋と、骨格に直接付属せず、身体構成・姿勢制御に直接関わらない内臓筋に分けることができる。しかしこの分類方法は便宜的な分類であり、もっとも良く用いられる分類方法である組織学的分類によれば、多骨格筋、単核の平滑筋心筋に分けることができる[1]。また、意識して動かすことができるかという点で随意筋(骨格筋のみ)と不随意筋(心筋・平滑筋)に分けられる。

この他にも、筋肉は見た目のから赤筋(赤色筋) (red muscle, typeI) 白筋(白色筋) (white muscle, typeII) 2種にも分類される。これは含有するミオグロビンミトコンドリアの量に左右され、多くミトコンドリアが活発なものが赤く、少なく不活発なものが白く見える[5][6] 。またこれらの筋繊維の本数とそれに伴う割合は個人差があり生まれつきほとんど決まっている。白筋は収縮の筋原繊維が発達しているため素早く縮むことができるため、速筋 (fast muscle) とも呼ばれる[6]乳酸性閾値から上の運動強度では速筋が多く使われるようになる[7]。速筋の筋肉繊維は、運動速度や発揮する力によってさらにIIa, IIx, IIb3種類[8] に分けられる[9]。赤筋は脂肪や炭水化物を消費する酵素が豊富で[9]ゆっくりした運動を持続的に行うのに適し、心臓や呼吸に関する器官の筋肉を構成する[5]。乳酸の代謝では細胞膜を通過して乳酸が輸送される必要がある場合があり、例えば、グリコーゲンが速筋で分解され乳酸を生成し、その乳酸が遅筋や心筋ミトコンドリアで使われている場合がある[7]。 一般的な話題で「筋肉」と呼ばれているのは主に骨格筋であり、パワーやスピードの向上に直結するためスポーツでは重要視される。

構造

解剖学的構造

https://upload.wikimedia.org/wikipedia/commons/thumb/e/e5/414_Skeletal_Smooth_Cardiac.jpg/300px-414_Skeletal_Smooth_Cardiac.jpg

(a)骨格筋、(b)平滑筋、(c)心筋

骨格筋

骨格筋 (skeletal muscle) は、関節など骨格の可動部を動かす筋肉である[10]。脊椎動物では両端がを介して骨と繋がった形で配置され、昆虫エビなどの節足動物ではクチクラ(角皮)を動かすために使われる[10]。関節に関してその筋肉が収縮すると曲がるものを屈筋、伸ばすものを伸筋と言う。その他は回転筋索引筋括約筋などに分類される[10]。随意筋であるが、体躯の姿勢制御や反射などでは無意識に動く。体重比で成人男性の42%、同女性の36%を占める[11]。哺乳動物の骨格筋の密度は1.06kg/lであり、脂肪よりも約15%重い[12][13]

平滑筋

平滑筋 (smooth musle) は、横紋が無い筋肉であり、脊椎動物では心臓を除く内臓および血管を構成する筋肉である。無脊椎動物の身体を構成する筋肉はほとんどが平滑筋である[14]。収縮する速度は遅く数十秒かかる場合もあるが、一方で伸び縮みする率は大きく、その状態を保持する能力に優れる[14]自律神経系から運動の促進・抑制双方の制御を受けている[14]

心筋

心筋 (cardiac muscle) は心臓を構成する筋肉である。心筋の特徴として、動作に必要な神経繊維が通常の神経繊維ではなく、特殊心筋と呼ばれる筋群によって興奮が伝達される。従って、肉眼的には神経繊維は存在しない。

微細構造

筋肉の機能は、神経の制御を受けながら収縮する事と、その収縮度合いを測定しフィードバックすることである。ここでは主な構成要素を、骨格筋を例にして解説し、後に心筋と平滑筋の違いを述べる。

筋繊維(筋線維)

骨格筋を構成する細胞単位。筋芽細胞の融合によって生じる、細長く大きな大多核細胞である。骨格筋が発生し分化する過程で、単核の筋原細胞同士が融合してつくられる[15]

筋原繊維(筋原線維)

横紋筋の筋繊維中に存在する収縮性の構造体で、細胞内器官。直径約1μmの円筒状をしており、骨格筋では筋肉の長方向に沿って多くの筋原繊維が並行に並んでいる。微細な構造は、多くのサルコメアが厚さ28nmZ膜(Z線)と呼ばれる隔膜で仕切られながら10nm間隔で連結している。横紋筋の縞模様はこの並びが見えている[16]。ミオフィブリル、筋フィラメント、ミオフィラメントとも呼ばれる[16]

サルコメア(筋節)

筋原繊維の最小構成単位。これが縦につながったものが筋原繊維である。個々のサルコメアは、ATP存在下で収縮が起こる。骨格筋の縞は、このサルコメアのアクチンフィラメントとミオシンフィラメントが並行に一部分が重なっている配列に由来する。筋小胞体から放出されたカルシウムイオンによりアクチンフィラメントがミオシンフィラメントな間に滑り込み筋肉が収縮する。したがって、そのときにはサルコメア全体の長さはアクチンフィラメントが滑り込んだ分だけ小さくなる。

サルコメアには、中央部に密度が高いA帯と、両側に密度が低いI帯がある。A帯は約1.5μm長のミオシンフィラメントで構成され、Z膜に接続したアクチンフィラメントがA帯に入り込んでいない部分がI帯である[16]。両フィラメントは、中心にあるミオシンフィラメントを六角形状にアクチンフィラメントが取り囲んだ断面構造を持つ。ミオシンフィラメント同士の中心間距離は4050nm、取り囲むアクチンフィラメントまでの距離は約15nmである[16]

エネルギー

筋繊維はアデノシン三リン酸 (ATP) を使い、フィラメント同士がお互い重なり合うように引き付け合い収縮する[1]

筋肉の制御

筋肉は、神経からの刺激で収縮を行っている。神経と筋肉は、神経筋接合部というシナプスの一種を介して刺激の伝達を行っている。神経末端からは、アセチルコリンが放出され、筋肉の側にあるアセチルコリン受容体に結合し、筋線維の細胞膜を脱分極させる。これがT管系を伝わって筋全体に広がり、T管系に接する筋小胞体からカルシウムが放出される。このカルシウムをシグナルとして、アクチン繊維とミオシン繊維の間の滑り運動が起こるのである。

その他

筋繊維は本来積極的に伸展する能力は無く、弛緩したときに伸展するのは、骨格筋の場合、対立筋の働きによる外的な作用による。運動後の筋肉の疲労は、解糖系の最終生成物である乳酸によってもたらされるとの説があるが、医学的根拠は無い。

心筋の微細構造

心筋は、普通心筋と特殊心筋に分類される、特殊心筋としては、洞房結節房室結節ヒス束等が挙げられる。特殊心筋の働きは、心筋の統合された収縮を目的とした、興奮の伝達である。普通心筋は、骨格筋と同じように横紋があるが、骨格筋ほど整然と並んでは居ない。

平滑筋の微細構造

平滑筋を構成する細胞は紡錘形状で単一の核を持つ[14]。アクチンフィラメントを大量に持ち、ミオシンフィラメントは少量が不規則に分散している。細胞の形状はデスミン中間径フィラメントが存在して保たれる[14]。収縮にはカルシウムイオンによって制御されるが、小胞体があまり発達していないため、細胞膜にあるくびれの外側にイオンを溜め込んでいると考えられる[14]

筋収縮や弛緩のメカニズム

詳細は「神経筋接合部」および「興奮収縮連関」を参照

大脳に発する運動指令は、小脳において修飾されたのち、遠心性の運動神経を介して、活動電位として伝えられ、運動神経と筋肉の連接部である神経筋接合部に至る。

運動神経の末端にある神経終末(シナプス前末端)に活動電位が伝わると、ここに分布する電位依存性Caチャネルを開口させて、Ca電流を生じる。これによるCa濃度上昇はAChアセチルコリン)放出を惹起させ、ここで放出されたAChは、シナプス間隙に拡散して、筋肉側で神経終末と結合している終板に達する。終板にはAChのニコチン受容体があり、これにAChが結合することでNa(ナトリウム)、K(カリウム)、Ca(カルシウム)が流入して、いわゆる終板電位 (EPP)を発生させる。これは、筋鞘を介して筋線維全体に伝播されたのち、横行小管 (T)を介して筋線維の中に入って筋小胞体へ至り、筋小胞体からCa2+の放出を引き起こす。これにより細胞内Ca2+濃度が増加し、トロポニンCa2+が結合し、トロポニンにアロステリックな変化が生じる。この変化によりトロポミオシンが動き、ミオシンの作用部位が露出する。これによりミオシンとアクチンが反応して相対的な滑りを起こし、筋収縮が引き起こされる[1]。一方、Ca2+は、筋小胞体膜上のCa-ATPaseによって回収され、これによってCa濃度が正常値まで低下するとトロポニンとCa2+の結合が解除され、連鎖的に筋収縮は終了する。

なお、原生動物の組織内にもアクチンやミオシンがフィラメント状に存在している[1]

筋タンパク質

脊髄動物の骨格筋には、湿潤重量で約20%のタンパク質が含まれ、これを筋タンパク質または筋肉タンパク質という。筋タンパク質の半分は細胞組織である細胞膜ミトコンドリア小胞体・細胞核などと、酵素タンパク質が占める。あとの半分は筋原繊維をつくる構造タンパク質であり、アクチン・ミオシンと調整タンパク質・骨格タンパク質などがある[2]

発生・発達

すべての筋肉は沿軸中胚葉から発生している。沿軸中胚葉は胎児の体躯に沿い、体節ごとに分かれている。これは主に3つがあり、脊髄を形成する硬節、皮膚を形成する皮膚分節、筋肉を形成する神経節である。この中で神経節は上下の節に分かれており、それぞれ軸上と軸下の筋肉へとなる。ヒトの場合、上分節は脊柱起立筋椎間筋肉の一部にしかならない。手足を含むその他の筋肉は全て下分節から発達する[17]

発生の期間、筋原繊維(筋前駆細胞)は脊椎に関連する筋肉へなるものと、その他の全筋肉を構成するため一度移動して体に取り込まれるものとに分かれる。通常では、側板中胚葉でつくられた筋原繊維がまず外郭を構成する結合組織を作る。そして筋原繊維は化学的な刺激に従いながら、それぞれ適切な場所で骨格筋を形成し始める[17]

生後、思春期前までは筋肉の発達に男女差が無いが、男性で思春期を迎えると第二次性徴によってアンドロゲンの分泌が活発となり、幅が広くなった後に筋肉が発達するようになり[18]、男女間に筋肉の差が生じるようになる。

筋肉は少なくとも2度大きな進化を遂げた。ひとつは刺胞動物であり、もうひとつは左右相称動物である。これらは海綿動物に相当するような有機体にある収縮可能な細胞から進化したものと考えられる[19]

数値

主な動物の筋肉繊維の直径

数値は David 1977 から[20]

動物

筋肉

直径(μm)

キンギョ 

赤筋繊維

 36.0

(同)

白筋繊維 

 49.4

アフリカツメガエル 

脚筋

 169.0

カワラバト 

胸筋

 26.8

トガリネズミ 

横隔膜

 18.0

ハツカネズミ

ふくらはぎ(腓筋) 

 60.8

ラット 

長指伸筋

 85.0

(同) 

横隔膜

 34.0

モルモット 

横隔膜

 25.0

ネコ 

横隔膜

 30.0

ブタ 

横隔膜

 60.0

ヒト

横隔膜 

 34.0

(同) 

肋間筋

 50.4

(同) 

三角筋

 54.2

主な動物の筋力

数値は Prosesser 1973 から[21]

動物

筋肉

筋力(N/cm2)

カキ 

貝柱

 117.7

ラット

指伸筋 

 29.4

ロブスター 

遅下制筋

 27.5

マケモノ 

横隔膜

 20.6

カエル 

縫工筋

 19.6

ネコ

tenuissimus muscle 

 13.7

イヌ 

気管平滑筋

 7.8

筋肉の退化

https://upload.wikimedia.org/wikipedia/commons/thumb/e/e9/Japanese_atrocities._Philippines%2C_China%2C_Burma%2C_Japan_-_NARA_-_292600.jpg/220px-Japanese_atrocities._Philippines%2C_China%2C_Burma%2C_Japan_-_NARA_-_292600.jpg

戦争捕虜。栄養失調の結果、筋肉に退化が見られる。その他にも、身体を活発に動かさないことや加齢、病気なども筋肉の退化の原因となる。

哺乳動物において、不活動や飢餓は骨格筋の退化に繋がる。筋肉量の減少は、タンパク質含有量の低下とともに筋肉細胞の減少や矮小化が伴う[22]

ヒトでは、ベッドにずっと寝ていて運動を長期間行わない状態にあったり、宇宙飛行士宇宙に滞在したりすると筋肉の弱化や退化が発生する事が知られている。有人宇宙飛行の世界では特に問題視され、無重力空間で過ごした結果、約30%もの筋肉が減ってしまったこともある[23][24]。これはヒトだけではなく、キンイロジリスやオオヒゲコウモリでも同様に起こると報告されている[25]

年齢とともに、骨格筋の機能や量を維持する能力がゆっくりと減少する現象があり、これは筋肉減少と呼ばれる。原因ははっきりしていないが、骨格筋繊維の維持を助ける「衛星細胞」が徐々に減ってゆく事との関連が疑われ、さらに筋肉量や衛星細胞を維持するために必要な感度もしくは分泌される重要な成長因子の減衰が関係すると考えられる。筋肉減少症は加齢によって一般的に起こり、また実際には病状として扱われないが、高齢者が怪我をしやすくなったり生活に支障を来たしたりする可能性がある[26]

脚注

1.    ^ a b c d e f g 生化学辞典第2版、p.357 【筋肉】

2.    ^ a b 生化学辞典第2版、p.357 【筋(肉)タンパク質】

3.    ^ Alfred Carey Carpenter (2007). Muscle. Anatomy Words. 2012103日閲覧。

4.    ^ Douglas Harper (2012). Muscle. Online Etymology Dictionary. 2012103日閲覧。

5.    ^ a b 生化学辞典第2版、p.729 【赤筋】

6.    ^ a b 生化学辞典第2版、p.995 【白筋】

7.    ^ a b 新たな乳酸の見方、八田 秀雄、学術の動向、Vol. 11 (2006) No. 10

8.    ^ Larsson, L; Edström, L; Lindegren, B; Gorza, L; Schiaffino, S (July 1991). “MHC composition and enzyme-histochemical and physiological properties of a novel fast-twitch motor unit type. The American Journal of Physiology 261 (1 pt 1): C93101. PMID 1858863. http://ajpcell.physiology.org/cgi/reprint/261/1/C93 2006611日閲覧。. 

9.    ^ a b McCloud, Aaron (20111130). Build Fast Twitch Muscle Fibers. Complete Strength Training. 20111130日閲覧。

10. ^ a b c 生化学辞典第2版、p.496 【骨格筋】

11. ^ Marieb, EN; Hoehn, Katja (2010). Human Anatomy & Physiology (8th ed.). San Francisco: Benjamin Cummings. p. 312. ISBN 978-0-8053-9569-3.

12. ^ Urbancheka, M; Pickenb, E; Kaliainenc, L; Kuzon, W (2001). Specific Force Deficit in Skeletal Muscles of Old Rats Is Partially Explained by the Existence of Denervated Muscle Fibers. The Journals of Gerontology Series A: Biological Sciences and Medical Sciences 56 (5): B191B197. doi:10.1093/gerona/56.5.B191. 

13. ^ Farvid, MS; Ng, TW; Chan, DC; Barrett, PH; Watts, GF (2005). Association of adiponectin and resistin with adipose tissue compartments, insulin resistance and dyslipidaemia. Diabetes, obesity & metabolism 7 (4): 40613. doi:10.1111/j.1463-1326.2004.00410.x. PMID 15955127. 

14. ^ a b c d e f 生化学辞典第2版、p.1187 【平滑筋】

15. ^ 生化学辞典第2版、p.355 【筋繊維】

16. ^ a b c d 生化学辞典第2版、p.351 【筋原繊維】

17. ^ a b MacIntosh, BR; Gardiner, PF; McComas, AJ (2006). 1. Muscle Architecture and Muscle Fiber Anatomy. Skeletal Muscle: Form and Function (2nd ed.). Champaign, IL: Human Kinetics. pp. 321. ISBN 0-7360-4517-1. 

18. ^ お母さんの基礎知識(思春期・男の子編)(もっと詳しく…)-神奈川県ホームページ

19. ^ doi:10.1038/nature11180
これはおそらく他の言語版からコピーされた出典です。日本語版では副テンプレートはまだ作成されていません。テンプレートページを開いて該当言語版からコピーする必要があります。通常英語版ページ

20. ^ R.Flindt 『数値で見る生物学』 浜本哲郎訳、ジュプリンガー・ジャパン、2007年、31頁。ISBN 978-4-431-10014-0

21. ^ R.Flindt 『数値で見る生物学』 浜本哲郎訳、ジュプリンガー・ジャパン、2007年、33頁。ISBN 978-4-431-10014-0

22. ^ Fuster, G; Busquets, S; Almendro, V; López-Soriano, FJ; Argilés, JM (2007). “Antiproteolytic effects of plasma from hibernating bears: a new approach for muscle wasting therapy?. Clin Nutr 26 (5): 65861. doi:10.1016/j.clnu.2007.07.003. PMID 17904252. http://linkinghub.elsevier.com/retrieve/pii/S0261-5614(07)00124-0. 

23. ^ Roy, RR; Baldwin, KM; Edgerton, VR (1996). Response of the neuromuscular unit to spaceflight: What has been learned from the rat model. Exerc. Sport Sci. Rev. 24: 399425. PMID 8744257. 

24. ^ NASA Muscle Atrophy Research (MARES) Website. 201322日閲覧。

25. ^ Lohuis, TD; Harlow, HJ; Beck, TD (2007). “Hibernating black bears (Ursus americanus) experience skeletal muscle protein balance during winter anorexia. Comp. Biochem. Physiol. B, Biochem. Mol. Biol. 147 (1): 2028. doi:10.1016/j.cbpb.2006.12.020. PMID 17307375. http://linkinghub.elsevier.com/retrieve/pii/S1096-4959(07)00053-X. 

26. ^ Roche, Alex F. (1994). Sarcopenia: A critical review of its measurements and health-related significance in the middle-aged and elderly. American Journal of Human Biology 6: 33. doi:10.1002/ajhb.1310060107. 

参考文献

関連項目

 

  •  

 

 

 

 

<img src="//ja.wikipedia.org/wiki/Special:CentralAutoLogin/start?type=1x1" alt="" title="" width="1" height="1" style="border: none; position: absolute;" />

https://ja.wikipedia.org/w/index.php?title=筋肉&oldid=66612623」から取得

カテゴリ:

平滑筋

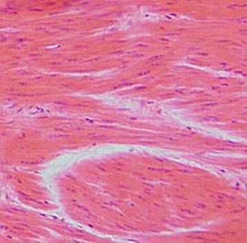
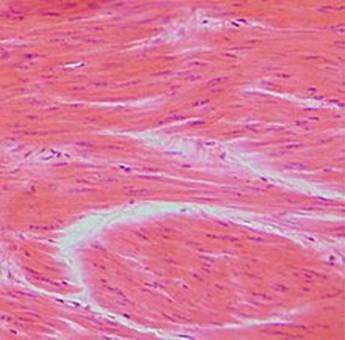
移動先: 案内検索

https://upload.wikimedia.org/wikipedia/commons/thumb/3/3b/Glatte_Muskelzellen.jpg/220px-Glatte_Muskelzellen.jpg

平滑筋の細胞

平滑筋(へいかつきん)とは、横紋筋とは違いサルコメア(筋節)のない筋肉のことである(アクチンミオシンは少量存在する)。血管膀胱子宮など、管状あるいは袋状器官では「壁」にみられる。また、消化管小腸大腸など)では消化物を筋収縮により運ぶ役割を持つ。

抗平滑筋抗体ASMA)は肝炎肝硬変狼瘡などの自己免疫疾患の徴候のことがある。

目次

 [非表示

·         1 構造

o    1.1 単元性平滑筋

o    1.2 多元性平滑筋

·         2 関連項目

構造[編集]

平滑筋の個々の細胞は紡錘形であり、内部にアクチンミオシンが存在することが確認されている。骨格筋心筋と異なり横紋は見られず、細胞自体の収縮メカニズムは不明とされている。支配神経は自律神経である。骨格筋とは異なり神経-筋接合部は明確ではなく、神経線維のところどころにある膨らみから信号が伝達される。 信号伝達のメカニズムにより、単元性平滑筋多元性平滑筋に分類される。

単元性平滑筋

https://upload.wikimedia.org/wikipedia/commons/thumb/f/f8/Single_unit_smooth_muscle1.png/220px-Single_unit_smooth_muscle1.png

単元性平滑筋

単ユニット平滑筋とも呼ばれる。いくつかの細胞がギャップ結合でつながりグループを構成し、グループ内のひとつの細胞が神経と接する。この細胞に神経からの信号が伝わると、ギャップ結合を通して他の細胞に興奮が伝わり、グループ内の細胞がほとんど同時に収縮する。

単元性平滑筋は、交感神経副交感神経の二重支配をうける。

多元性平滑筋

多ユニット平滑筋とも呼ばれる。単元性平滑筋とは異なり、ギャップ結合によるグループはない。交感神経、副交感神経のどちらか一方の支配を受ける。

瞳孔を開く瞳孔散大筋や瞳孔を収縮させる瞳孔括約筋は多元性平滑筋である。

関連項目[編集]

·         骨格筋

·         横紋筋

·         心筋

·         血管筋

カテゴリ:

·         筋肉

·         組織学

心筋

出典: フリー百科事典『ウィキペディア(Wikipedia)』

移動先: 案内検索

心筋(しんきん)とは、心臓を構成する筋肉のことをいう。

心筋は、骨格筋と同じ横紋筋であるが、骨格筋は随意筋多核細胞でできているのに対して、心筋は単核(稀に2核)の細胞でできており、不随意筋である。また、ミトコンドリが非常に多く存在しており、心筋が要求するエネルギーの大部分をまかなっている。心房には血圧と血流の制御に関連する心房性ナトリウム利尿ペプチドと呼ばれるペプチドホルモンを合成、分泌する心筋細胞が存在する。心筋細胞は介在板により結ばれ、心筋線維を形成する。心筋線維は静止時には細胞外に対して-50-90mV膜電位を有する。骨格筋の絶対不応期13msecなのに対して、心筋の絶対不応期は200msecと長い。

心筋の顕微解剖

上記の通り心筋は横紋筋であるので光学顕微鏡下でも横紋を認める。低倍率では網状構造がよく見える。まれに細胞辺縁に黄褐色の顆粒構造を認めるが、これは心筋が安定組織であるために生成され排泄されない老廃物、いわゆるリポフスチン顆粒である。

関連項目

筋肉

 

[表示]

循環器系の正常構造・生理

心臓

肉眼解剖

基本構造

左心

左心房 - 僧帽弁 - 左心室 - 大動脈弁

右心

右心房 - 三尖弁 - 右心室 - 肺動脈弁

心房中隔 - 心室中隔 - 卵円窩 - - 乳頭筋 - 腱索

冠動脈系

大動脈基部英語版 - 冠動脈 - 右冠動脈英語版 - 左冠動脈前下行枝英語版 - 左冠動脈回旋枝英語版

刺激伝導系

洞房結節 - 房室結節 - His英語版 - 英語版 - プルキンエ線維英語版

顕微解剖

心内膜 | 心筋 | 介在板 | ギャップ結合 | 心膜

生理学

電気

心電図 | P | PQ時間

物理

心雑音 | 心拍数 | 心拍出量 | 心係数 | ベインブリッジ反射 | スターリングの法則 | 血圧反射機能

生化学

ANP | BNP | エンドセリン | 昇圧剤 | 高血圧治療薬 | アドレナリン作動薬

血管

肉眼解剖

動脈系

大動脈

上行大動脈 - 大動脈弓 - 胸大動脈 - 下行大動脈 - 腹部大動脈 - 総腸骨動脈

[表示]

頭頸部動脈

総頸

外頸

上甲状腺

上行咽頭

顔面

  • 顔枝

後頭

後耳介

浅側頭

内頸

頸部

錐体部

海綿静脈洞部/

  • 末端
  • 下垂体

大脳動脈輪

鎖骨下

椎骨

  • 大脳

甲状頸

下甲状腺

頸横

肩甲上

肋頸

上肢

鎖骨下動脈 - 腋窩動脈 - 上腕動脈 - 浅掌動脈弓 - 深掌動脈弓

胸部

胸部大動脈 - 食道動脈 - 肋間動脈 - 上横隔動脈 - 気管支動脈

腹部

腹部大動 - 下横隔動脈 - 腹腔動脈 - 上腸間膜動脈 - 腎動脈 - 下腸間膜動脈 - 腰動脈

下肢

外腸骨動脈 - 大腿動脈 - 膝窩動脈 - 前脛骨動脈 - 後脛骨動脈 - 腓骨動脈 - 足背動脈 - 弓状動脈

静脈系

大静脈

上大静脈

腕頭静脈 - 鎖骨下静脈 - 静脈角 - 内頸静脈

下大静脈

総腸骨静脈 - 外腸骨静脈 - 大腿静脈

[表示]

頭頸部の静脈・静脈洞

外頸

下顎後:  ·浅側頭 (前耳介)

後耳介

頸横 - 肩甲上 - 前頸 (頸静脈弓)

内頸

板間/

大脳: 上大脳 ·浅中大脳 ·下大脳 ·大大脳 ·内大脳 (脳底, 上視床線条体)

小脳: 上小脳 ·下小脳

静脈洞交会: 上矢状 · (下矢状·後頭

海綿: 蝶形骨頭頂 ·海綿間
上眼 (篩骨, 網膜中心, 鼻前頭·下眼 ·

内頸: S: (側頭錐体鱗部·上錐体
下錐体 (脳底静脈叢, 内耳·顆導出

その他

総顔面 ·顔面 (前頭葉, 眼窩上, 眼角, 上唇, 下唇, 深顔面·翼突筋
(舌背, 舌深, 舌下·咽頭 ·甲状腺 (上甲状腺/上喉頭, 中甲状腺)

椎骨静脈

後頭葉 (後頭導出)  ·後頭下
深頸

腕頭

下甲状腺 (下喉頭) - 胸腺

上肢

上腕静脈 - 橈側皮静脈 - 尺側皮静脈 - 前腕正中皮静脈 - 橈骨静脈 - 尺骨静脈

胸部

奇静脈 - 半奇静脈 - 副半奇静脈 - 気管支静脈

腹部

肝静脈 - 腎静脈

下肢

大伏在静脈 - 膝窩静脈 - 小伏在静脈 - 脛骨静脈 - 後脛骨静脈 - 足背静脈弓

肺循環

肺動脈 - 肺静脈

肝循環

肝門脈 - 下垂体門脈

腎循環

腎動脈 - 輸入細動脈 - 糸球体 - 輸出細動脈 - 腎静脈

顕微解剖

血管内皮

生理学

圧受容器 | 頚動脈洞反射 | 脈波伝播速度 | 傍糸球体装置

生化学

レニン-アンジオテンシン-アルドステロン | 血管内皮細胞増殖因子 | 内皮由来弛緩因子

 

[隠す]

心血管疾患

[表示]

 

疾患

心疾患

整脈

徐脈性

洞不全症候群 | 房室ブロック | 脚ブロック右脚ブロック ·完全右脚ブロック ·左脚ブロック | アダムス・ストークス症候群

頻脈性

上室性

洞性頻脈英語版 | 心房細動 | 心房粗動英語版 | ブルガダ症候群 | 早期再分極症候群 | QT延長症候群 | WPW症候群

心室性

室細動 | 心室頻拍 | トルサード・ド・ポワント | 期外収縮

虚血性疾患

狭心症 | 心筋梗塞 | 急性冠症候群 | 冠動脈血栓症 | 心室瘤 | 心破裂 | 乳頭筋断裂en

弁膜症

僧帽弁狭窄症 | 僧帽弁閉鎖不全症 | 三尖弁狭窄症en | 三尖弁閉鎖不全症en | 大動脈弁狭窄症 | 大動脈弁閉鎖不全症en

先天性心疾患

心房中隔欠損 | 心室中隔欠損 | 心内膜床欠損症 | 動脈管開存症 | ファロー四徴症極型ファロー四徴症 | 大血管転位左旋性 ·右旋性 | 総肺静脈還流異常症 | 大動脈縮窄 | 左心低形成症候群 | 両大血管右室起始症 | 三尖弁閉鎖en | 単心室 | ブランド・ホワイト・ガーランド症候群

心内膜・心筋
心膜疾患

心内膜疾患

感染性心内膜炎

心膜疾患

心膜炎急性心膜炎en ·慢性収縮性心膜炎 | 心タンポナーデ

心筋疾患

心筋症虚血性心筋症拡張型心筋症en ·肥大型心筋症en ·拘束型心筋症en ·特発性心筋症 | 心筋炎

心臓腫瘍en | 心臓性喘息 | 肺性心

血管疾患

大血管

大動脈瘤胸部腹部en)・胸腹部 | 大動脈解離 | 高安動脈炎

動脈

閉塞性動脈硬化症 | 閉塞性血栓性血管炎 | 動静脈瘻 | 動脈硬化 | レイノー現象

静脈

静脈瘤 | 血栓性静脈炎 | 静脈血栓塞栓症 | 脂肪塞栓症

[表示]

 

病態・症候

心不全

左心不全 | 右心不全 | 両心不全en

血圧異常

高血圧

本態性高血圧症en | 二次性高血圧en | 高血圧性緊急症en

低血圧

心臓発作 | 心臓肥大 | 心停止 | 心肺停止

[表示]

 

所見・検査

血圧計 | 聴診 | 心雑音 | 心電図 | 心電図モニタ | 心臓超音波検査 | 胸部X線写真 | 胸部X線CT | 心臓MRI | 心臓カテーテル検査肺動脈カテーテル | 心臓核医学検査 | 脈波伝播速度検査

[表示]

 

治療

外科的治療

冠動脈バイパス術(CABG

CABG | off-pump CAB(OPCAB) | MIDCAB(en) | TECAB(en)

弁膜症手術

弁置換術en | 弁形成術en | 弁輪形成術 | 交連切開術en

小児心臓外科

動脈管結紮術 | BTシャント | 肺動脈絞扼術en | ノーウッド手術 | グレン手術 | フォンタン手術 | ジャテン手術 | ラステリ手術 | ロス手術

心不全外科

心移植術 | 補助人工心臓装着術 | 左室形成術DorSAVEOverlapping

不整脈外科

メイズ手術en | 心臓ペースメーカー | 植え込み型除細動器

大動脈手術

大動脈人工血管置換術 | 大動脈基部置換術 Bentall, David | ステントグラフト内挿術en

末梢血管手術

末梢動脈血行再建術 | 末梢静脈血行再建術 | 静脈抜去術en | 静脈血栓摘除術en | 内シャント作成術 | 肢切断

内科的治療

循環作動薬

抗不整脈薬

Ia: プロカインアミド, キニジン
Ib
: リドカイン, フェニトイン
Ic
: フレカイニドen, プロパフェノンen
II
:
交感神経β受容体遮断薬プロプラノロールなど)
III
:
アミオダロン, ソタロールen
IV
:
カルシウム拮抗剤ベラパミル, ジルチアゼムなど)

心不全治療薬en

利尿薬 | 血管拡張薬 | 強心配糖体 | 強心剤 | PDEIII阻害薬

狭心症治療薬

交感神経β受容体遮断薬 | 硝酸薬

高血圧治療薬

利尿薬 | 交感神経β受容体遮断薬 | レニン-アンジオテンシン-アルドステロン系 (ACE阻害薬ARBレニン阻害薬英語版 | カルシウム拮抗剤 | アドレナリン作動薬 | 脂質降下薬

血管内治療

経皮的冠動脈形成術

循環器系の正常構造・生理

<img src="//ja.wikipedia.org/wiki/Special:CentralAutoLogin/start?type=1x1" alt="" title="" width="1" height="1" style="border: none; position: absolute;" />

https://ja.wikipedia.org/w/index.php?title=心筋&oldid=55927929」から取得

カテゴリ:

Category:心臓解剖学

移動先: 案内検索

心臓解剖学 (Cardiac anatomy) のカテゴリ

カテゴリ「心臓解剖学」にあるページ

このカテゴリには 20 ページが含まれており、そのうち以下の 20 ページを表示しています。

·         右心室

·         右心房

·         介在板

·         冠動脈

·         左心室

·         左心房

·         三尖弁

·         心筋

·         心室中隔

·         心底

·         心内膜

·         心嚢水

·         心膜

·         心膜腔

·         僧帽弁

·         大動脈弁

·         洞房結節

·         肺動脈弁

·         房室結節

·         ランゲルハンス細胞

カテゴリ:

·         器官別の人体解剖学

·         心臓

 

随意筋

 

随意筋(ずいいきん)は、自己意識下で動かすことの出来る筋肉。体を動かす骨格筋がこれにあたる。自己意識下で動かすことの出来ない筋肉は不随意筋(ふずいいきん)と呼ばれ、心筋平滑筋(胃腸などの筋肉)がこれにあたる。

筋肉を運動させる時、脳から出た電気信号は運動神経(α-neuron)によって筋肉の筋紡錘へと伝わる。筋紡錘から筋肉全体の筋細胞へと電導が生じて、筋細胞は収縮し、筋肉全体が収縮する。筋紡錘からは紡錘感覚神経が脊髄へと入力し、ここで抑制神経に連絡する。抑制神経は抑制運動神経(γ-neuron)を介して、筋紡錘へと連絡している。これにより筋肉の収縮を抑え、過剰な筋収縮を防いでいる。

四肢の運動は基本的に伸筋と屈筋の連動で動いている。つまり伸ばす動きでは、伸筋の収縮と屈筋の弛緩が同時に起こっている。これは、伸ばす動きを意識するときに自動で連動する。高次運動障害では、この連動性が失われている場合がある。また、痙攣時には伸筋、屈筋が同時に収縮している。

横紋筋

横紋筋(おうもんきん)は脊椎動物筋肉の一種で、外見上規則正しい横紋がみられるためにこう呼ばれる。さらに骨格筋皮筋表情筋など)と心筋に区別される。

この横紋は、筋繊維(線維)を構成するアクチンミオシンが規則正しく並んでいるためにみられる。それらから構成される筋原繊維(線維)は細胞を貫いて並び、そのために細胞の区分はなく、細長く伸びて内部に筋原繊維の並んだところに複数の核がある、いわゆる合胞体となっている。

他の筋肉では細胞内にアクチンとミオシンの繊維(線維)がばらばらに入っているのに対して、横紋筋ではそれらが規則正しく交互に配置し、そのために明るい帯と暗い帯が交互に配列する様子が光学顕微鏡でも確認できる。これが筋収縮の分子レベルでの理解へ近づく入り口となった。

平滑筋

移動先: 案内検索

https://upload.wikimedia.org/wikipedia/commons/thumb/3/3b/Glatte_Muskelzellen.jpg/220px-Glatte_Muskelzellen.jpg

平滑筋の細胞

平滑筋(へいかつきん)とは、横紋筋とは違いサルコメア(筋節)のない筋肉のことである(アクチンミオシンは少量存在する)。血管膀胱子宮など、管状あるいは袋状器官では「壁」にみられる。また、消化管小腸大腸など)では消化物を筋収縮により運ぶ役割を持つ。

抗平滑筋抗体ASMA)は肝炎肝硬変狼瘡などの自己免疫疾患の徴候のことがある。

目次

·         1 構造

o    1.1 単元性平滑筋

o    1.2 多元性平滑筋

·         2 関連項目

構造

平滑筋の個々の細胞は紡錘形であり、内部にアクチンミオシンが存在することが確認されている。骨格筋心筋と異なり横紋は見られず、細胞自体の収縮メカニズムは不明とされている。支配神経は自律神経である。骨格筋とは異なり神経-筋接合部は明確ではなく、神経線維のところどころにある膨らみから信号が伝達される。 信号伝達のメカニズムにより、単元性平滑筋多元性平滑筋に分類される。

単元性平滑筋

https://upload.wikimedia.org/wikipedia/commons/thumb/f/f8/Single_unit_smooth_muscle1.png/220px-Single_unit_smooth_muscle1.png

単元性平滑筋

単ユニット平滑筋とも呼ばれる。いくつかの細胞がギャップ結合でつながりグループを構成し、グループ内のひとつの細胞が神経と接する。この細胞に神経からの信号が伝わると、ギャップ結合を通して他の細胞に興奮が伝わり、グループ内の細胞がほとんど同時に収縮する。

単元性平滑筋は、交感神経副交感神経の二重支配をうける。

多元性平滑筋

多ユニット平滑筋とも呼ばれる。単元性平滑筋とは異なり、ギャップ結合によるグループはない。交感神経、副交感神経のどちらか一方の支配を受ける。

瞳孔を開く瞳孔散大筋や瞳孔を収縮させる瞳孔括約筋は多元性平滑筋である。